Dental advice, patient guides, and everything in between
Need product recommendations?
〰️
Click here
〰️
Need product recommendations? 〰️ Click here 〰️
What no one tells you about aligners
Aligner treatment is one of the most googled topics in dentistry today — and with so many brands out there, it can feel overwhelming to know where to start. Social media makes it look simple. But there are questions worth asking before you commit — because aligner treatment is not cheap, and we want to do it once, and do it right.
Here are six things I'd encourage every patient to think about before choosing an aligner brand.
Dental Crowns — What They Are and How to Choose the Right One
Dental crowns are one of the most commonly performed restorations in Singapore, helping patients restore damaged, weakened, or root canal-treated teeth back to full function.
Root Canal Treatment — What It Is, and What to Expect Afterwards
Root canal treatment is one of the most common dental procedures performed in Singapore, yet it remains one of the most misunderstood. If you've been told you need a root canal, you're not alone — and it's far less daunting than it sounds.
This guide covers everything you need to know about root canal treatment — what it involves, what to expect after your appointment, and how to recover well.
What are bite blockers — and why do I need them?
If your doctor has mentioned bite blockers as part of your orthodontic treatment, you might be wondering what they are and why they are necessary. Here is everything you need to know.
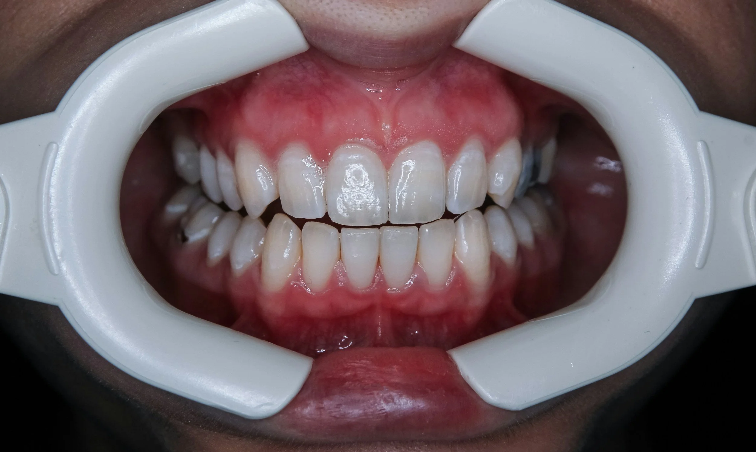
What is aligner treatment?
If you are considering aligner treatment or are already partway through your journey, this guide covers everything you need to know — from how aligners work, to what attachment bonding involves, what refinement scans are, and why they are a completely normal and expected part of the process.
What to expect at your first orthodontic visit?
Thinking about braces or aligners but not sure what happens at that first appointment? No surprises here — here's exactly what to expect!
What is jaw surgery?
If your dentist has mentioned jaw surgery as part of your treatment plan, you probably have a lot of questions. What exactly is it? Why can't braces alone fix the problem? What does the process involve?
Here is an honest, clear guide to help you understand what jaw surgery is and what to expect.
Children's brushing guide & decay prevention
Good oral habits formed in childhood last a lifetime — and as a parent, you play the most important role in setting your child up for a healthy smile. Here is everything you need to know about brushing correctly and preventing tooth decay in little ones.
Your guide to the transpalatal arch and lingual arch
Your dentist has fitted you with a transpalatal arch or lingual arch — a fixed metal bar that sits across the roof of your mouth or behind your lower front teeth. Here is everything you need to know about what to expect and how to care for it.
Your guide to orthodontic separators
If your dentist has placed separators between your teeth today, you might be wondering what exactly they are and what to expect over the next few days. Here's everything you need to know.
How to wear orthodontic elastics
Orthodontic elastics are small rubber bands that connect your upper and lower braces or aligner attachments to apply gentle but consistent force across the jaws. Unlike the archwire which moves individual teeth, elastics work on a larger scale — they correct the relationship between the upper and lower jaw and teeth.
Oral hygiene & patient guide after orthognathic surgery
Orthognathic surgery — commonly known as jaw surgery — is a significant procedure, and how well you care for yourself in the recovery period plays a huge role in how smoothly and comfortably you heal. This guide covers everything you need to know about oral hygiene, eating, recovery, and what to expect in the days, weeks, and months after your surgery.
Patient guide for Facemask Protraction with expander
A facemask — also known as a reverse pull headgear or protraction facemask — is an orthodontic appliance worn on the outside of the face that works in combination with an expander inside the mouth to guide the growth of the upper jaw forward. It is used to correct a specific type of bite problem called an underbite caused by an underdeveloped upper jaw — and it is most effective when used during periods of active growth in children and young adolescents. Here is your complete guide.
Patient guide for removable appliances
Removable orthodontic appliances come in many forms — from appliances with Z-springs that tip or move individual teeth, to removable expanders that gently widen the dental arch.
Whatever type your dentist has prescribed, the principles of wearing and caring for your appliance are the same. Here's your complete guide.
Patient guide for Twin Block appliance
A Twin Block is a removable orthodontic appliance made up of two separate parts — one for the upper teeth and one for the lower teeth. When worn together, the blocks guide the lower jaw forward into a more favourable position, helping to correct the relationship between the upper and lower jaws. It is one of the most effective and widely used functional appliances for growing patients. Here's everything you need to know.
Patient guide after Maxillary Skeletal Expander (MSE) placement
A Maxillary Skeletal Expander — or MSE — is a bone-anchored palatal expander that is used to widen the upper jaw. Unlike traditional palatal expanders that work by pushing on the teeth, the MSE is anchored directly into the bone of the palate using small titanium mini-screws, allowing it to widen the jaw itself at the midpalatal suture.
It is a highly effective appliance for patients who need significant skeletal expansion — and understanding what to expect after placement will make the process much smoother. Here's your complete guide.
Patient guide After TAD Placement
A TAD — or Temporary Anchorage Device — is a small mini-screw that is placed into the jawbone to provide a fixed point of anchorage during orthodontic treatment. Think of it as a tiny anchor that helps your orthodontist move specific teeth more precisely and efficiently than traditional braces or aligners alone can achieve. Here's everything you need to know after having your TAD placed.
Retainer wear & care instructions
Congratulations on completing your orthodontic treatment — your smile looks amazing! But the journey doesn't quite end here. Retainers are one of the most important parts of your orthodontic treatment, and wearing them consistently is what keeps your results looking great for life. Here's everything you need to know.
Aligner wear & care instructions
Congratulations on starting your aligner journey! Aligners are a fantastic way to straighten your teeth discreetly — but getting the best results comes down to how well you wear and care for them. Here's everything you need to know.